Transform Your Smile and Confidence with Expert Oak Park Cosmetic Dentistry
Dental Care of Oak Park provides comprehensive Oak Park cosmetic dentistry services for patients of all ages. If you are self-conscious about your smile, our team can help. We have years of experience helping our patients achieve perfect smiles with the latest technology and equipment.
Many of us dislike something about our smile. It could be discolored teeth from years of smoking or chipped front teeth from a childhood accident. Whatever your issue, we can help you get an improved smile and achieve your desired results. We want our patients to feel great every time they look in the mirror—and we’re dedicated to that outcome with expert Oak Park cosmetic dentistry.
How can Oak Park cosmetic dentistry improve your confidence?
Oak Park cosmetic dentistry isn’t about vanity. It’s about improving self-esteem and feeling confident when meeting new people. Whether you opt for regular teeth whitening treatments, porcelain veneers, or crowns, Oak Park cosmetic dentistry may help you feel better about yourself, so you are ready to face the world. Many of our patients report a completely changed perspective on life after they visit us for cosmetic dentistry.
Oak Park cosmetic dentistry can truly transform the way you feel about yourself, boosting your confidence in every aspect of your life. Whether you’re smiling for a photo or speaking in a meeting, you’ll feel more assured knowing your smile reflects your true personality. Discover how Oak Park cosmetic dentistry can help you shine brighter!

What Makes Our Cosmetic Dentistry Services Stand Out?
You have a range of options when it comes to repairing your smile. Our Oak Park cosmetic dentistry services include the following:
– Crowns to replace or repair teeth that are discolored, damaged, or broken
– Teeth cleaning enhances your smile and oral health. Pair with crowns, bridges, veneers, or in-office whitening to ensure your teeth stay bright and healthy.
– Bridges that attach to healthy teeth to replace a missing tooth or teeth in between
– Veneers to repair discolored or crooked front teeth
– Professional-grade teeth whitening done in-office
Whatever your dental needs, our team here at Dental Care of Oak Park looks forward to meeting you. If you’re a new patient, call 708-386-0960 to schedule a consultation or complete our online form.
No matter your concern, our skilled team is here to help you achieve the smile you’ve always dreamed of. We understand that each patient’s needs are unique, which is why we offer personalized Oak Park cosmetic dentistry treatment plans tailored to you.
Whether you’re dealing with a chipped tooth, missing teeth, or just looking to brighten your smile, we provide a comprehensive range of Oak Park cosmetic dentistry services to restore both function and aesthetics. We are committed to helping you feel confident in your smile and proud of your appearance. Contact us today to begin your journey to a more beautiful, healthy smile!
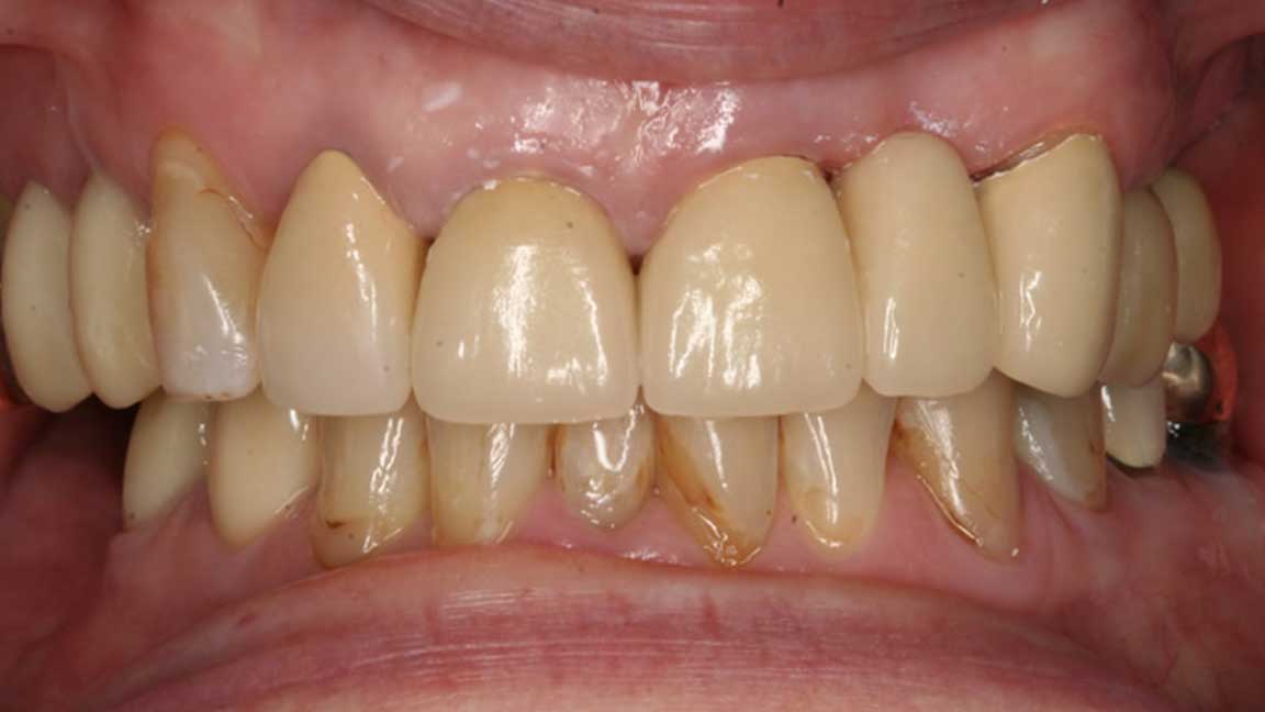
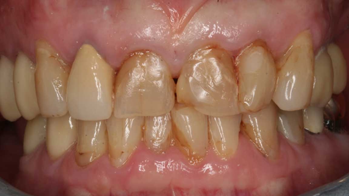
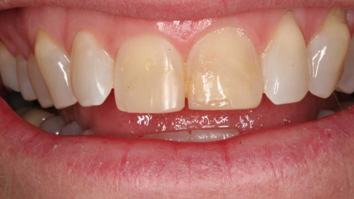
Dental Crowns
Dental crowns are a wonderful solution when you have one or more teeth that have become chipped, broken or discolored.
Dental Bridges
A dental bridge can provide natural-looking replacement teeth between two healthy teeth.
Porcelain Veneers
As your cosmetic dentist in Oak Park, IL, we use the Lumineers® brand of porcelain veneers. These are thin porcelain facings that are affixed to your front teeth. When you smile, all that shows is a straight, white line of teeth! This is the choice for many patients who have slightly crooked or discolored teeth.
Worried About the Cost of Cosmetic Dentistry?
The smile you want doesn’t mean anything if you can’t afford it. Luckily we provide competitive rates, many financing options including CareCredit, have free consultations, and we also accept insurance. If you have any questions or concerns please read about how affordable we are, or give us a call at (708)-386-0960.
Schedule Your Next Appointment
Looking for the right cosmetic dentist in Oak Park, IL? Your search ends at Dental Care of Oak Park! Call us for a free consultation today at (708)-386-0960


