A dental crown usually lasts between 10 and 15 years, but with proper care, it can last even longer. The exact lifespan depends on the crown material, your oral hygiene routine, and how much stress the crown experiences during daily use. Some crowns may wear out in under a decade, while others can remain intact for 20 years or more.
Crowns restore damaged or weakened teeth—both front teeth and back teeth—helping you chew, speak, and smile with confidence. They cover and protect the underlying tooth from further harm, offering both durability and function.
Still, no crown lasts forever. Knowing how long to expect your dental crown to last—and how to care for it—can help avoid discomfort and unnecessary replacements.

Material Matters: Types of Dental Crowns and Their Lifespan
The material used in a dental crown impacts how long it will last and how it performs in day-to-day use. Some resist wear and tear better than others, while certain materials are chosen for how well they blend with nearby natural teeth.
Here’s what to expect from different crown materials:
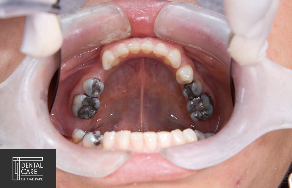
Porcelain Crowns:
- Excellent aesthetic match to natural teeth
- Strong resistance to wear
- Ideal for visible front teeth
- Average lifespan of 10-15 years
Metal Crowns:
- Superior durability
- Perfect for back teeth
- Minimal wear on opposing teeth
- Can last 20+ years with proper care
Porcelain-Fused-to-Metal Crowns:
- Combines strength and aesthetics
- Versatile application
- Reliable permanent crown longevity
- 15-year average lifespan
Additional Factors Influencing How Long Dental Crowns Last:
- Bite force intensity and patterns
- Presence of teeth grinding (bruxism)
- Daily oral hygiene routine
- Professional maintenance schedule
- Crown location in the mouth
- Overall oral health status
- Diet and lifestyle habits
Each material has trade-offs. For example, metal crowns last the longest but don’t match tooth color, while porcelain crowns look natural but chip more easily. Your dentist in Oak Park, IL, selects the material based on the tooth’s location, your bite, and aesthetic preferences.
How Placement Affects Crown Longevity
Where the crown sits in your mouth plays a big role in how long it lasts. Back teeth handle the most biting force, making them more prone to wear or cracks. For this reason, tougher materials like metal or zirconia crowns are often used on molars.
Front teeth don’t bear as much pressure when chewing, so porcelain or ceramic crowns—though slightly less durable—are often used to preserve a more natural look.
Regardless of the location, a crown that fits poorly or one bonded to a weakened underlying tooth may have a shorter functional life. If a new crown shifts or feels unstable, contact your dentist so they can adjust it before it leads to further problems.

Proper Care Extends the Life of a Crown
A well-made crown is only part of the equation. Keeping it in good condition also depends on what you do at home. You protect your crown the same way you protect any tooth: consistent, proper care and awareness of habits that can cause damage. Taking these steps reduces the risk of early crown failure and minimizes the chance of needing a crown replacement sooner than expected.
Advanced Oral Hygiene Practices
- Practice proper oral hygiene by brushing twice daily using a soft-bristled brush
- Use fluoride toothpaste specifically designed for crowns
- Floss daily with crown-friendly floss
- Incorporate an antimicrobial mouthwash
- Consider a water flosser for better cleaning around crowns
Protective Measures
- Invest in a custom-fitted nightguard if you grind your teeth
- Avoid extremely hard foods and ice chewing
- Never use teeth as tools for opening packages
- Protect teeth during sports activities
- Maintain a crown-friendly diet and don’t use your teeth to open packages
Professional Care
- Schedule biannual dental checkups without fail
- Get professional dental cleanings every six months
- Address any issues promptly to protect crown longevity
- Maintain excellent gum health around crowned teeth
- Request regular crown evaluations

What Causes Crowns to Wear Out?
Dental crowns aren’t immune to damage. Every day wear, poor oral hygiene, and habits like teeth grinding can shorten their life. A crown may also need to be replaced if the underlying tooth starts to decay or the fit becomes loose.
Common reasons for crown replacement include:
- Decay forming along the edge of the crown, compromising the underlying tooth
- Loosening of the crown due to worn cement or shifting teeth
- Chipping or cracking, especially in porcelain crowns
- Gum recession exposing crown margins
- Gum inflammation around the crown
- Changes in how your bite feels
- General wear after a decade or more of use
Crown replacement is straightforward in most cases. If the underlying tooth is still intact, your dentist can take impressions and place a new crown designed to last. But if the damage extends into the root or surrounding bone, a different treatment may be necessary.
The Role of Technology in Your Dental Crown Lifespan
Modern dental technology has significantly improved how long dental crowns last. The latest CAD/CAM systems enable precise crown creation, ensuring better fit and longer-lasting restorations. Digital scanning and 3D modeling help optimize crown placement and bite alignment, contributing to enhanced dental crown lifespan.
The Role of Regular Checkups
Routine dental visits are essential for identifying early signs that a crown may be failing. During these appointments, your dentist examines not just the crown, but also your bite, gum health, and the condition of the surrounding and underlying tooth.
They look for signs of gum inflammation near the crown. Small cracks or chips on the surface may also appear and are easier to fix when caught early. Your dentist will also assess for changes in your bite, which can occur if the crown has shifted even slightly.
Another key area of concern is decay that may form under the crown margins. This type of decay can damage the underlying tooth and weaken the crown’s stability.
Catching these issues early allows for timely repairs and helps prevent the need for a full crown replacement. Keeping up with regular dental visits is a simple but important step in protecting both your crown and your overall oral health.
What You Can Do to Make Your Dental Crown Last
A dental crown typically lasts 10-15 years, although some last much longer with proper care. The type of crown material, your oral hygiene, and the crown’s location all affect how long it will perform well. Choosing strong materials like zirconia or metal crowns and staying consistent with good habits—like brushing, flossing, and avoiding hard foods—can extend the lifespan of your crown.
Eventually, wear, damage, or changes in the underlying tooth may require a crown replacement. Regular dental exams help catch problems early, protect your investment, and support long-term oral health.